血管钙化危害大,这些检查你一定得知道
发布时间:2019-07-10

心血管钙化是悬在广大肾友头上的一把利剑,随时威胁着肾友的生命健康。而且,慢性肾病(CKD)患者一旦发生钙化,钙化的进展速度比普通人更快1


所以,对于部分肾友来说,心血管钙化的检查是合理而且必要的。


哪些人需要查?怎么查?结果看什么?今天我们就来聊聊关于钙化检查的那些事儿。


谁要查?存在心血管钙化风险的患者


钙磷代谢紊乱是导致心血管钙化的重要原因之一,对于高磷血症需要接受高剂量磷结合剂治疗的患者来说,钙化的评估非常必要。


其他还包括等待肾移植的患者、CKD5D期患者和医生评估后认为需要进行检查的患者等等1


怎么查?影像学检查是主要手段2



检查方式主要包括:


侧位腹部X线:用于筛查腹主动脉钙化


超声心动图:检查是否存在心脏瓣膜钙化


电子束CT或螺旋CT:筛查冠状动脉钙化


但需要强调的是,单一的检查方法无法筛查所有类型的钙化,也就是说如果只做了一种检查可能会存在漏筛2,所以有时候医生为了确诊会建议进行多种检查。


此外,建议患者每6~12个月进行一次心血管钙化的评估1


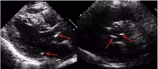
结果看什么?看那些威胁健康的“白色阴影”(图中标示箭头部位均为钙化部位)


侧位腹部X线:当血管壁钙化时,可通过X光片看到明显的血管轮廓,图中所示为典型腹主动脉钙化。



超声心动图:心脏瓣膜钙化会在超声心动图中出现为强回声,也就是图中所示的白色部分。



CT:钙化会在CT影像中呈现为白色的高密度影,下图所示为冠脉壁钙化部位。



最后,老生常谈的话题,肾友们一定要严格控制自己的血磷和血钙。


G3-G5期的患者在治疗高磷血症的时候,千万注意限制含钙磷结合剂的使用,因为含钙磷结合剂在降磷的同时,也增加了钙化的风险1,不要让治疗得不偿失。


注:文中影像学资料均来源于网络


参考文献:

1.中国慢性肾脏病矿物质和骨异常诊治指南. 人民卫生出版社. 2019.

2.Liu ZH, et al. Curr Med Res Opin. 2018;34(8):1491-1500.


SACN.SEC.19.07.7392



2440
0
0
0